2025-09-24 膝關節痛的原因竟然是髖關節
2025(民國114)年9月23日報導
 
一名70多歲的女性患者,兩年前因為雙膝關節疼痛,於他院陸續接受人工膝關節置換手術。雖然術後症狀稍有改善,但她仍然感到步行困難,且疼痛逐漸加劇。經過原手術醫院多次追蹤檢查,認為置換後的人工膝關節並無異常,因而建議病人持續復健。然而,即使努力復健,病情依舊沒有改善。
圖1.  患者於他院置換的兩側人工膝估節
 
三週前患者前來弘大醫院劉有漢院長門診。劉院長經過詳細理學檢查與影像檢查後,確認人工膝關節並無問題,真正的原因出現在髖關節:雙側髖關節僵直、活動受限,X 光顯示髖關節已嚴重變形,屬於末期髖關節炎。因此,劉院長建議病人接受人工髖關節置換手術。
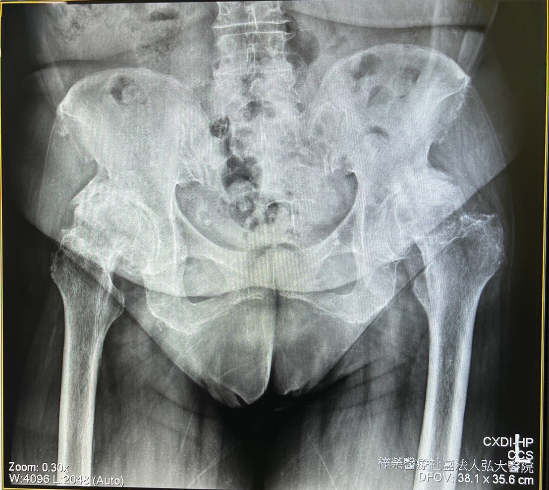
圖2. 兩髖關節呈現嚴重關節病變
 
手術完成後,患者於隔日即可下床步行,膝關節的疼痛大幅減輕,步行時的不適幾乎完全消失。手術後五至六天,她甚至能夠自行上下樓梯,生活品質明顯提升。
圖3. 左側髖關節置換術後
 
劉有漢院長提醒,膝關節疼痛並非一定源自膝蓋本身,在臨床上,來自髖關節或腰椎的「傳導痛」亦時有所見。若病人在膝關節手術後仍持續出現疼痛,應進一步檢查髖關節與腰椎,以排除上位關節病變所造成的疼痛。


<<上一篇 回上一層選單 下一篇>>

本網站內容為梓榮醫療社團法人弘大醫院所有,未經許可請勿轉載。
禁止任何網際網路服務業者轉錄其網路資訊之內容供人點閱。